Dental Care

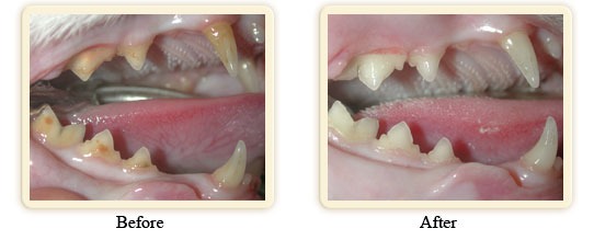
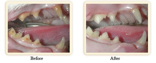
Oral disease is the most frequently diagnosed health problem for pets. Without proper preventive or home care, plaque and tartar can build up, which may cause oral infections, bad breath, infected gum tissues (gingivitis), or even bone loss (periodontitis).

Sixty percent of dental disease is hidden below the gum line. Brush your pet’s teeth regularly and check with your veterinarian about screenings, cleanings, and products available to help keep those pearly whites clean.

Why does my pet have bad breath?

Plaque, which is a material consisting of bacteria, saliva, and food particles, accumulates on your pet’s teeth after each meal. The bacteria begin to excrete toxic waste products and enzymes that break down the gum tissue. As the infection continues, the gum-line becomes inflamed (gingivitis), which in turn causes a very foul-smelling odor. If the plaque is allowed to remain on your pet’s teeth, within a few days it begins to materialize and forms the brown tartar that you can see. If this is left untreated, it can result in abscessed teeth, which must be extracted, and can place additional demands on the heart, kidney’s and liver- shortening your pet’s happiness and life!

Signs of Dental Disease in Pets

Many pets suffer from dental disease without showing obvious signs. Look out for:
  • Bad breath (halitosis)
  • Red or bleeding gums
  • Difficulty eating or chewing
  • Excessive drooling
  • Loose or missing teeth
  • Swelling around the mouth

What can be done to help?

Brushing: Preventing periodontal disease begins at home. By brushing your dog’s teeth on a regular basis, you will help to reduce plaque buildup. BE SURE TO use a toothbrush and toothpaste specially designed for dogs!

We recommend the use of VOHC approved products. To learn more check out VOHC.org or look for this label (insert picture of VOHC label) on dental products found in many different places including our online pharmacy (make “online pharmacy” a hyperlink to our online store)
Working Hours
Mon - Fri:
7:30 am – 5 pm
Saturday:
8 – 12pm
Sunday:
Closed
*We are closed weekdays for lunch from 1pm – 2pm
Saturdays and Holidays: Hours may vary. For up-to-date hours, please check HERE.
©2026 Rowan Animal Clinic